Kashmira Gander
The Independent
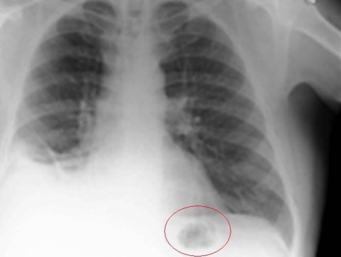
A handyman suspected to have cancer after doctors found a mass in his lungs had his fears allayed when tests revealed it was a small toy cone he had swallowed as a child.
The unnamed 47-year-old from Preston, who had smoked for around thirty years, visited a doctor after coughing up yellow mucus for over a year.
A scan to determine the cause of his symptoms showed that he had a shadow in his lung.
However, tests at the Royal Preston Hospital revealed that the mass was a traffic cone from a Playmobil set, according to BMJ Case Reports. This prompted the man to recall that he had received a Playmobil set on his seventh birthday.
Doctors were stunned by how the cone remained undetected, and believed his is the first reported case of a "tracheobronchial foreign body" overlooked for forty years.
Usually, parents notice that their child have ingested a small object as they choke and cough. Due to his young age when he inhaled the toy, medics reasoned that his lungs developed around the cone.
"He finally found his long lost Playmobil traffic cone in the very last place he would look," medics wrote in the journal.
The report comes as a US doctor warned that he is seeing increasing numbers of children who have swallowed small but powerful magnets. One child seen by Children's Hospital at Colorado had the magnets pinching her bowl. Doctors performed an endoscopy on the two-year-old to remove the magnets.
"That can have very significant implications," Dr Robert Kramer, co-medical director of the Digestive Health Institute and the Director of Endoscopy at Children's Hospital Colorado, told WHTN.com. "In the worst cases there has been deaths associated with these."